Despre un maxilar anormal și cum am reușit să mă descurc o lună cu gura blocată
Eu sunt Anca și tocmai am trecut prin experiența cunoscută ca BIMAX. După o călătorie cu pregătiri, scenarii, gânduri, frici și așteptări, am ales să scriu povestea mea cu chirurgia ortognatică. În caz că aș uita cum a fost și ce a însemnat pentru mine.
Începutul drumului
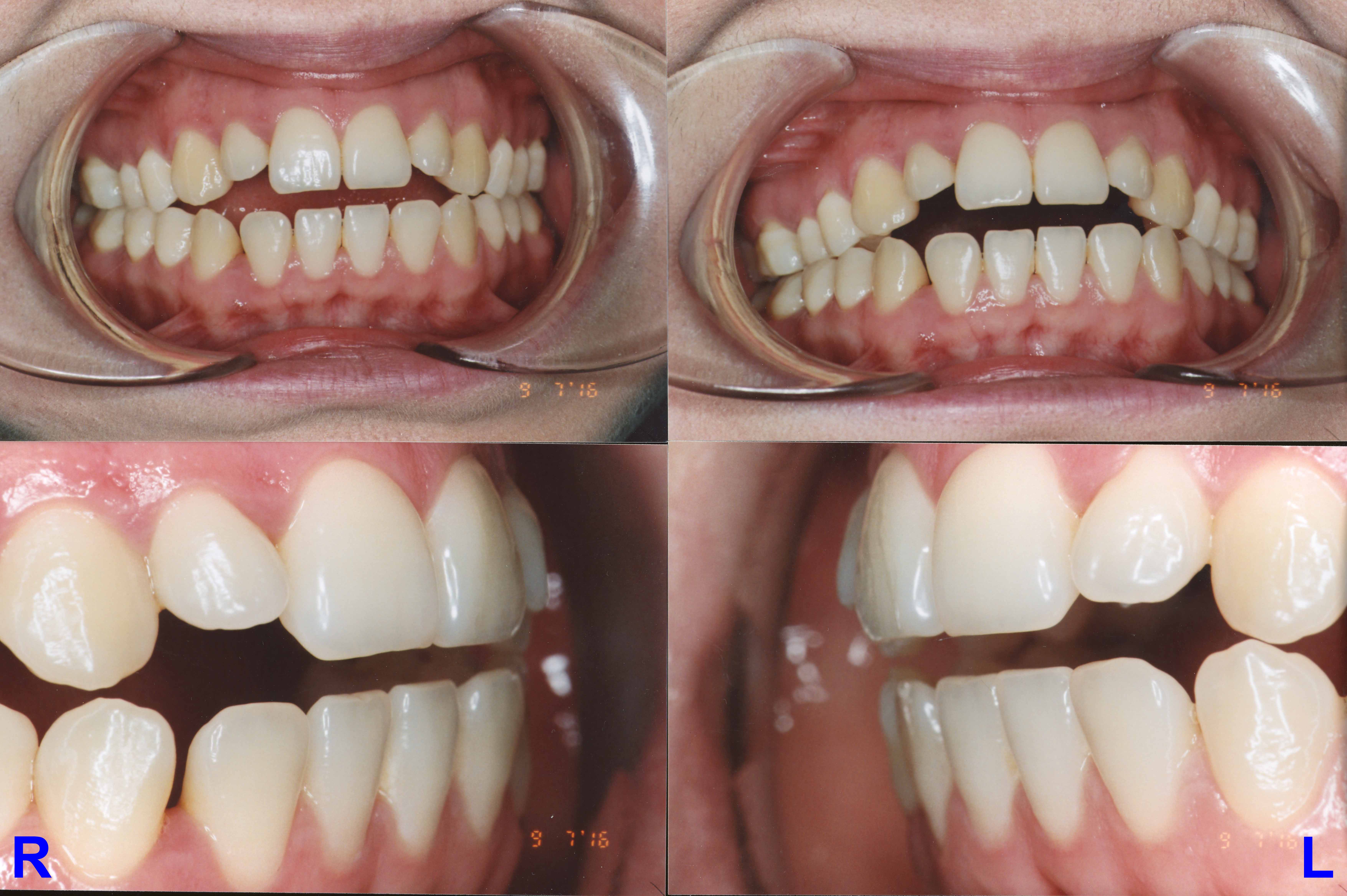
Aproape de când mă știu am avut o mușcătură proastă. Open bite, ocluzie deschisă, adică dinții din față nu se atingeau și puteam mușca doar pe molari.
Pentru mine era o normalitate și habar nu aveam că se poate schimba. O astfel de anomalie ca a mea nu este foarte vizibilă, așa că aproape nimeni nu știa de problema mea.
Să trăiești cu asta poate fi destul de neplăcut, atât funcțional cât și social. Odată făceam o radiografie panoramică și asistenta încerca să îmi arate că de fapt am mușcătură: “haideți, apăsați, mandibula în spate, nu, așa, mai încolo”. De fapt nu puteam mușca până la capăt dintr-un sandviș, o salată verde, o felie de pizza. Mestecam greu. Eram ușor peltică. Ușor, sper eu. Stăteam cu buzele mai încordate. Îmi controlam zâmbetul. Ma durea capul. Dormeam cu gura deschisă. Not nice. Ca să fie treaba treabă, aveam și parodontită.
Târziu am conectat toate punctele astea.
În 2016 am fost la un dentist nou pentru ca îmi căzuse o plombă. Acolo am aflat că articulația mea e incorectă, dinții nu se așază bine unii peste alții, că se numește ocluzie deschisă și că totul se poate rezolva cu aparat dentar.
Fast forward, după niște cercetări și mai multe vizite la alți dentiști și ortodonți, am aflat că aparatul dentar nu este suficient și că pentru a repara mușcătura va fi nevoie și de o operație.
Ortodontul mi-a explicat apoi că asta presupune fracturarea maxilarului și/sau mandibulei în funcție de diagnostic, corectat în forma potrivită și fixat cu plăcuțe și șuruburi din titan.
Chirurgia ortognatică este ceva destul de comun, se pare ca 30% din români au nevoie de o astfel de operație. Tratamentul ortognatic presupune un lucru în echipă între un ortodont și un chirurg maxilo-facial. Ortodontul aliniază dinții, iar chirurgul așază ca pe un puzzle maxilarul și/sau mandibula în forma finală. După operație mai urmează câteva luni, o jumătate de an, de purtat aparatul dentar, pentru a fi făcute ultimele retușuri.
Când am aflat, nu știam nimic despre asta. Am fost foarte șocată și speriată, mai mult la gândul ca ar trebui să fac o operație la nivelul feței. Sincer, nu este ceva ce te-ai gândit vreodată că o să experimentezi. Dar diagnosticul meu era real și nu puteam să îl ignor. Puteam probabil să trăiesc ca și până atunci, însă dacă nu luam în calcul tratamentul recomandat la 26 de ani sunt convinsă că aș fi regretat mai târziu, când efectele s-ar fi agravat. În marea schemă a lucrurilor, câteva luni de recuperare sunt un preț mic pe care îl plătești pentru o calitate mai bună a vieții.
Intri în horă, joci
Odată ce am realizat că este o alegere de care depinde sănătatea mea, am început procesul. Era începutul lui 2017.
Înainte de montarea aparatului dentar trebuia să mă vadă un chirurg maxilo-facial care să dea tonul tratamentului – diagnostic, indicații, etc.
Doctorul ortodont cu care puneam planul la bătaie mi-a recomandat un chirurg din București la care am reușit să mă pun pe o listă de așteptare de 2 luni. Operația era mult prea scumpă.
Celor care poartă, sau s-au interesat de purtarea unui aparat dentar, știu cât de costisitor poate fi. Adunat cu prețul operației și alte cheltuieli care sigur veneau odată cu tratamentul, ar fi trebuit să mănânc doar un covrig pe zi timp de câțiva ani.
M-am perpelit câteva zile, am căutat doctori buni, iar apoi am dat peste soluția ideală: clinica de chirurgie orală și maxilo-facială Cluj. Clinică de stat (deci operația avea să fie decontată parțial sau total – FYI, este decontată în totalitate pentru cei asigurați de CNAS), cu o reputație bună pe net, cu multe recenzii la operații de acest gen, chiar și la opțiunea București – Cluj. Părea complicat, dar nu m-am gândit foarte mult la faptul că este într-un oraș destul de îndepărtat pentru că în 2016 tocmai se lansaseră zborurile low-cost București – Cluj. Costurile erau super accesibile. (încă sunt, deși puțin mai scumpe. Aici despre experiența mea cu turismul medical).
Am vorbit cu doamna doctor ortodont despre opțiunea mea. A fost foarte deschisă, deși colaborase doar cu un anumit chirurg până atunci. Ba chiar a avut cuvinte de laudă pentru echipa de la Cluj despre ale cărei cazuri auzise.
Am programat o consultație la Cluj, la dr. Simion Bran în februarie 2017. Mi s-a dat diagnosticul de anomalie clasa II scheletală, ocluzie deschisă frontală, iar tratamentul prevăzut era osteotomie Le Fort 1 cu trei segmenți (deci doar la maxilar). Tot atunci am programat și data inițială a operației pentru februarie 2018.
Am primit o scrisoare medicală pe care am dat-o mai departe doctorului ortodont în București. Trebuia să îmi scot toate măselele de minte (încă incluse în os, lucky me), să merg la endocrinolog și să încep tratamentul ortodontic care ar fi durat aproximativ 10 luni.
M-am întors în București și am început pregătirile.
Cu măselele a fost suferință mare…Consultul și analizele la endocrinolog au fost în regulă (era o suspiciune că am probleme cu tiroida și hormonii de creștere și asta îmi afectează limba și dinții, long story).
După ce am terminat cu toate astea, la începutul lui aprilie 2017 mi-a fost montat aparatul dentar.
În acel an am mai fost o singură dată la control la Cluj, în octombrie. Atunci am aflat că este posibil ca operația să fie și la mandibulă, în funcție de setup-ul final. Tot atunci m-a văzut și doctorul ortodont cu care colaborează clinica, dr. Barbur.
M-am întors în București cu lista de analize și pregătiri preoperatorii, cu detaliile pe care ortodontul meu își dorea să le afle de la echipa din Cluj și am continuat tratamentul ortodontic.
În iarnă a trebuit să amân operația cu o lună pentru că nu eram gata, iar locul disponibil, în urma unui schimb cu un alt pacient, era pe 4 iunie.
Cu 2 săptămâni înainte de operație am fost la Cluj pentru luarea amprentelor pentru splint, măsurători, radiografii și poze. Atunci mi s-a confirmat că operația va fi bimaxilară. Până la urmă a fost Le Fort 1 cu 3 segmenți + reconstrucție mandibulară.
Apropo, știați că doctorul francez René Le Fort a descoperit acest tip de fracturi pe la 1900?!
“Le Fort used intact cadaver heads, and delivered blunt forces of varying degrees of magnitude, as well as from different directions. From these tests, he determined that predictable patterns of fractures are the result of certain types of injuries”
Ziua cea mare se apropie
Timpul a trecut, a venit vremea operației, (pregătirile sunt un subiect mai lung în cazul meu), iar în ultima săptămână, când stresul era în tavan, s-a mai amânat cu 2 zile, pentru 6 iunie. Luasem deja biletele de avion și am ajuns la Cluj într-o sâmbătă, pe 2 iunie.
Din acest moment nu mai aveam decât să mă relaxez, iar cele 2-3 zile libere au fost o vacanță meritată. Am prins o zi de TIFF, am fost la Grădina Botanică, am mâncat ceva bun și am lăsat timpul să treacă.
Pe 6 iunie 2018, la 7.22, o asistentă mă chema în sala de operații. După acel moment, pot să afirm această expresie măreață, că viața mea s-a schimbat.
Au urmat încă 3 zile de spitalizare. Nu mai avusesem niciodată o operație cu anestezie generală, nu mai fusesem internată într-un spital, nu suport spațiile noi și oameni mulți în jurul meu, însă m-a ajutat mult pregătirea psihică pe care am făcut-o cu conștiinciozitate în zilele de dinainte, suportul și energia familiei și prietenilor și totul a decurs cât se poate de bine. Sună clișeic, dar funcționează.
Postoperator pe scurt (aici găsești un timeline detaliat)
M-am trezit din anestezie mahmură, dar foarte odihnită. Am fost condusă și instalată în salon și mi s-au explicat reacțiile pe care le va avea corpul meu.
Internarea a fost chiar plăcută și pre și postoperator (asta poate fi un paradox când îți curge sânge pe gură și pe nas și ai capul cât o baniță).
Am fost îngrijită foarte bine, verificată des, am putut să fac duș în fiecare zi de spitalizare. Gura mea a fost ingienizată în fiecare dimineață în cabinet și am fost învățată în oglindă cum să o fac și eu (informație liniștitoare, I tell you).
Am stat într-un pat la geam, care avea vedere spre parc și spre un canal pe care treceau rațe. Destul de terapeutic.
De marți până sâmbătă, cât am stat în spital, a plouat de câteva ori. Ador ploaia și sigur a contribuit foarte mult la starea mea de bine.
De aici nu mi-am făcut griji pentru prea multe lucruri, personalul știa ce are de făcut, primeam perfuzii, mâncare și atenție.
Socrate în acțiune
Da, a fost incomod să mănânc cu o seringă, să dorm cu blenderul în brațe, să nu pot vorbi, să nu îmi pot sufla nasul, să îmi curgă bale și să nu le simt, să iau pastile zdrobite, să nu mă pot spăla bine pe dinți. Însă dincolo de toate astea, pentru mine nu a fost atât de groaznic cum mi-am imaginat. Multe griji au fost închipuite. Știam că va trece. Cred că am realizat asta destul de devreme pentru ca recuperarea mea să fie chiar foarte rapidă. Desigur, pot fi și complicații, dar aici vorbesc despre o operație în parametri normali.
Încântarea și satisfacția cu care trăiesc acum că am trecut de ceva ce credeam înfricoșător, că mă apropii de finalul unei etape, umbrește multe alte probleme pe care le-am avut vreodată. Este un fel de binecuvântare bizară de care ai nevoie uneori în viață.
Azi sunt în ziua 61 după Bimax, nu mai am elastice sau splint, am scăpat de el la patru săptămâni, nu la șase cum ar fi trebuit în cazul intervenției mele, am învățat să mănânc din nou și niciodată nu am simțit gusturi mai bune și mai intense. Încă mai am un pic bărbia amorțită, dar pot să vorbesc clar, zâmbesc, mă spăl pe interiorul dinților, pot să mușc bine din mâncare și clănțăn dinții de mai multe ori pe zi ca să mă asigur că e adevărat ce mi se întâmplă.
Revin!








70 Comments
Ce trebuie să știi despre aparatul dentar - Anca Talks
November 11, 2018 at 2:21 pm[…] Puțini dintre noi știu, și puțini dintre noi au o mușcătură perfectă, în care dinții se așază ideal. La unii problema este mai evidentă, la alții este mai puțin evidentă, așa cum a fost cazul meu, care a avut nevoie de tratament complementar. […]
Angelica
December 9, 2018 at 9:50 pmBuna!
Ai mentionat la un moment dat de pozitia incorecta a articulatiei. Ai putea sa mi dai mai multe detalii despre asta, te rog?
ancatalks
December 11, 2018 at 1:26 pmBuna, Angelica! O sa raspund si aici pentru alti oameni interesati. Problema mea cu articulatia nu a fost sesizabila, nici trecuta in diagnostic/simptome. Trosnea din cand in cand la mestecat pentru ca maxilarele nu stateau cum trebuie. Nu am avut dureri propriu zise din cauza asta, desi ulterior am facut o asociere cu durerile de cap. Dupa operatie nu mai am nimic. Stiu ca in unele cazuri exista probleme mari cu mobilitatea maxilarelor si e nevoie de tratament complementar pentru articulatie. Cred ca e greu sa traiesti cu asta o viata. Exista solutii particulare si pentru lamuriri trebuie luate in calcul parerile mai multor chirurgi maxilo, ortodonti, sau dentisti specializati pe TMJ + intuitia din dotare. Imbratisari!
ancatalks
December 11, 2018 at 6:18 pm*TMJ = articulatie temporo-mandibulara
Iuliana
December 27, 2018 at 12:05 amServus, Anca. Mā bucur pentru reusita operatiei tale!
Ai mentionat in articol faptul ca inainte sa te hotarasti sa faci operatia la Cluj, prin casa de asigurari, ti s-a sugerar sa o faci la Bucuresti. Imi poti spune te rog care e pretul unei astfel de operatii in Bucuresti?
Apreciez, Iuliana.
ancatalks
December 30, 2018 at 3:05 pmBuna, Iuliana! In Bucuresti recomandarea era sa o fac in la spitalul privat Sanador, iar pretul pornea de la 2500 euro/arcada. Operatia bimaxilara putea ajunge si la 6000-7000 euro. La Cluj a ajuns cam la jumatate, cu tot cu aparat dentar, operatie, drumuri si cazare. Nu stiu daca mai sunt si alte variante de incredere in Bucuresti, din pacate internetul nu ne ajuta. Succes cu orice alegi!
ancatalks
January 3, 2019 at 12:43 pmRevin cu o completare de care uitasem. In timpul tratamentului meu am aflat despre un alt medic chirurg maxilo facial din Bucuresti, care o operase cu succes pe o prietena cu cativa ani in urma. Nu stiu exact costurile operatiei ortognate, dar posibil sa fie mai prietenoase. Se numeste Dragos Slavescu si lucreaza la clinica Dental Profile.
Alina
February 20, 2019 at 11:30 amPentru Bucuresti, imi poti spune te rog si numele medicului?
ancatalks
February 20, 2019 at 11:39 amSe numeste Ion Nicolescu
Vali
November 26, 2019 at 9:07 pmBuna, mi-a placut poveste ta si m-a ajuta un pic in pregatirea operatiei. Pe 12 decembrie o sa am interventia la Sanador, dr. Nicolescu si dr. Dorobanru. Spre bucuria mea operatia aici o sa difere un pic fata de ce ai povestit tu. Internarea maxim 48 ore, fara imobilizat gura, dar cu aleeasi umflaturi 🙂. Incerc sa revin cu o poveste dupa.
ancatalks
November 27, 2019 at 12:52 pmSalut, Vali! Suna bine, esti norocos ca ai mai putine griji 🙂 Succes mult si recuperare usoara!! asteptam continuarea pentru ca sunt sigura ca sunt multi care citesc pe-aici si vor sa stie povestea ta.
Vali
December 17, 2019 at 3:13 pmBuna Anca,
Revin dupa interventie, in cazul meu bimaxilar multisegment. Cum am mai spus intr-un post anterior interventia a avut loc la spitalul Sanador, dr. Ion Nicolescu si dr. Mihai Dorobantu ( clinica Naos).
In ziua interventiei, pe 12 dec, m-am intenat la ora 6 dimineata, iar la ora 8 coboram in preoperator. Dupa montarea branulei si cateva minute de glume cu dna dr. anestezist, mai tin minte doar ca am fost urcat intr-un scaun, am trecut pe langa cei doi medici cu care m-am salutat si m-am urcat pe masa de operatie cu cele doua lampi uriase deasupra ochilor. In urmatorul moment eram deja la terapie intensiva unde, din punctul meu de vedere, cred ca a fost cel mai greu moment al operatiei. Pe la 12:30 dr. Dorobantu a sunat-o pe sotie sa-i spuna ca a iesit din operatie si ca totul a decurs conform asteptarilor. Ca si in cazul tau eu am vomitat de doua ori la terapie, de aceea m-au tinut in pic mai mult ( cam 3 ore) pentru a se asigura ca totul este ok. Am mai vomat o data si in salon dar dr. a spus ca este ceva normal. Stomacul nu suporta sangele inghitit in timpul operatiei.
Seara a venit dr care mi-a spus sa beau apa cu sticla si sa mananc iaurtul si supa cu lingura, ceea ce am si facut.
Pentru cei interesati la Sanador sunt saloane private si saloane de 2 paturi. Pt confortul meu eu am ales salon privat unde, pt aproximativ 200 lei pe noapte si 3 mese incluse, se poate caza si un apartinator. Noi nu am gasit inainte aceasta informatie pe site-ul spitalului si sotia a stat la un hotel in apropriere. Oricum programul de vizita de la 08 la 20 este arhisuficient si nu te da nimeni afara( in prima zi a plecat la 22 din spital).
Sambata dimineata la 10 (la 48 de ore de internare) m-am externat si acum, la 5 zile de la interventie mananc cu lingura, beau apa cu paharul, ma spal pe dinti, deschid gura aproape normal( fac exercitii in acest sens), unflatura mai persista un pic, a aparut si o vanataie in coltul gurii,blenderul aproape vreo 2 luni in cazul meu.
Intradevar, nu este de neglijat costul interventiei care, in cazul bimax ajunge la 7 mii si ceva de euro ( numai inteventia). As vrea sa mai mentionez ca in acest caz nu mai este nevoie de o noua interventie la 1 an pentru indepartarea placutelor( care nu stiu cat de placuta a fost, sau nu).
Nu stiu ce sa mai scriu acum, mai este ceva drum pana o sa termine totuldar sunt optimist.
Multumesc ca mi-ai permis sa scriu aceste randuri pe blogul tau.
ancatalks
December 30, 2019 at 10:32 pmBuna din nou! Merci pentru update, ce vesti bune, felicitari! Conteaza sa intri in ritm mai devreme si sa nu bolesti mult, in cazul tau e de ajutor ca nu ai avut splint si te-ai readaptat usor. Referitor la placute, am auzit ca si la Cluj sunt pacienti care nu le-au scos. Eu ma simt mult mai bine fara ele, le cam simteam in plus pe cele din jurul nasului. Iti urez recuperare usoara in continuare, a trecut greul! An Nou Fericit!
Ana-Maria Popescu
December 23, 2023 at 12:27 amBuna, Anca! Urmează sa ma operez in București și as vrea sa iau legătura cu Vali, cum pot ajunge la el? 🙏 aici apare doar un nume și nu merge sa dau reply la mesajul sau. Mulțumesc! 🙏
Mihai Ionașcu
August 11, 2019 at 5:55 pmÎn Iași e 3000 de euro ambele arcade, tot spital privat! Am făcut pe propria piele și ma simt efectiv ca un nou-născut!
ancatalks
August 12, 2019 at 10:12 amBine de stiut, poate ne scrii mai multe despre experienta ta. Sunt sigura ca sunt medici buni in mai multe orase, dar despre care nu prea se stie, din pacate. Buna descriere, chiar e o viata noua :). Felicitari si recuperare usoara, Mihai!
ancatalks
August 12, 2019 at 10:15 amP.s. Daca esti dispus sa ne povestesti, pot gazdui postarea aici.
Otilia
August 8, 2024 at 4:14 pmBună, La ce clinica te ai operat în Iași?Și la ce medic??
Experiența mea cu turismul medical - chirurgie ortognatică la Cluj - Anca Talks
January 13, 2019 at 4:44 pm[…] mea sinceră după ce am experimentat turismul medical – despre implicații, avantaje și […]
Marian
January 16, 2019 at 4:01 pmBuna Anca,
Ma bucur de asemenea pentru reusita operatiei tale. Ai facut un articol foarte interesant si detaliat 😊 As vrea sa te intreb despre costuri pentru ca am exact aceeasi problema cum ai avut tu. Ai spus la Cluj ar fi 6000-7000 euro doar operatia in sine sau incluzand si aparatul, etc..? Eu am.gasit la Ploiesti la Office Dent cu 7000 operatia in sine plus 2000 pentru aparat, plus vizitele lunare 300 ron…etc..ceea ce mi se pare cam scump..
Mersi de raspuns anticipat!
Marian
January 16, 2019 at 4:04 pmScuze, acum am citit mai bine si am vazut ca ai specificat…incluzant aparat, transport, etc.
ancatalks
January 17, 2019 at 12:12 pmSalut, Marian! Am spus costul in euro pentru operatia din Bucuresti (aparatul ar fi separat). La Cluj costa doar pregatirile (analize, splint, consumabile), drumurile si cazarea. Pretul aparatului variaza mult in functie de cabinetul ales, tipul si timpul de purtare. Daca inca ai nelamuriri sau alte intrebari despre ocluzia deschisa, poti sa imi scrii pe [email protected].
Marian
March 21, 2019 at 1:40 amMersi de raspuns. O sa incep cu cei de la office dent pana la urma undeva prin Mai. Toate cele bune.
ancatalks
March 21, 2019 at 1:07 pmPentru putin si mult succes!
Moisiuc
May 2, 2019 at 11:17 pmBună. Anca. Pentru prima întâlnire cu medicul chirurg de ce documente ai avut nevoie. ?
ancatalks
May 3, 2019 at 2:03 pmLa Cluj? Te vor anunta si cand te programezi. In principiu, trimitere de la medicul de fam si cardul de sanatate. Ajuta sa ai radiografii, modele de studiu.
Andreea
May 9, 2019 at 2:03 pmBuna! La ce Ortodont ai mes in București? Mulțumesc!
Andreea
May 15, 2019 at 10:45 amMulțumesc
Alexandru
July 2, 2019 at 3:56 pmBună, Anca! Un articol foarte interesant și care e de mare ajutor pentru cei cu probleme similare. Câteva întrebări și din partea mea: (1) Există o clinică de stat maxilo-facială și în București, respectiv Spitalul Clinic de Chirurgie Oro-Maxilo-Faciala “Prof. Dr. Dan Theodorescu”. Care e motivul pentru care nu ai ales să te operezi la această clinică și ai ales Clujul? (2)Ai decis tu să te opereze domnul dr. Simion Bran, pe baza unor recomandări anterioare sau așa s-a nimerit la momentul în care ai sunat să faci programarea la Cluj? (3) Drumul ce trebuie urmat începe cu programare la ortodont sau la chirurg?
Mulțumesc anticipat pentru răspuns.
Soția mea se află într-o situație similară cu a ta și aș fi tentat să urmăm același drum ca și tine. O zi bună. Alexandru
ancatalks
July 3, 2019 at 7:11 pmBuna, Alexandru. Multumesc pentru apreciere! Aici raspunsurile mele:
1. La momentul respectiv nu stiam pe nimeni care sa se fi operat acolo (intre timp am descoperit ca o amica facuse asta cu multi ani in urma). Nu erau referinte ok pe internet despre medici, ba dimpotriva, si in fond era ceva atat de delicat incat nu m-as fi lasat in gol pe mana unui medic despre a carui cazuistica nu stiu nimic.
2. Eu am ales doctorul, am mentionat numele cand am facut programarea.
3. Daca stii deja ca ai nevoie de operatie, cred ca e mai eficient sa se inceapa de la chirurg, dar nu e gresit nici invers. Se conecteaza punctele pe parcurs.
Succes mult sotiei, dar si tie!
Violeta
July 26, 2019 at 4:22 pmBuna Anca,de ajutor aticolul tău!Eu tocmai ce am facut operația de corecție a muscaturii!Sunt sa zic in partea ,,critică” in care imi este cam foame in permanență 😂..Imi poti spune te rog cam in cat timp ai văzut in oglinda ceea ce iti place?…Eu is tare umflată si am impresia ca fizionomia mea va ramane asa…sper sa nu!Si senzatia de amorțeală a barbiei?ai avut?…cam cat timp a durat daca iti mai amintești?Ma tot gândesc ca tot ce mi-am dorit a fost sa am dintii drepți ,mi sa nu regret ca am facut aceasta operație..adica sa arate mai rau ca inainte forma fetei mele..Multumesc anticipat de raspuns!🤗
ancatalks
July 30, 2019 at 1:50 pmMersi, Violeta! Imi pare rau ca iti raspund tarziu, sper ca te-ai mai acomodat intre timp. Nu te consuma prea tare pentru infatisare deocamdata, dureaza luni de zile pana se retrag umflaturile.Din barbie am avut amortit chiar si dupa un an,.. Nu vei ramane asa, o sa vezi ca o sa arati din ce in ce mai firesc. Si eu m-am stresat la inceput, nu ma identificam cu imaginea mea despre mine, umflaturile de abia treceau. Nu mi-as fi dorit sa se schimbe deloc infatisarea, dar altfel nu se poate. Acum ma plac cu totul. da-ti mult timp, cateva luni, jumatate de an sa iti revii si sa te accepti oricum ar fi. 🙂
alexandra
November 29, 2019 at 5:14 pmBuna Anca,
Am facut si eu operatia la Clinica Naos din Bucuresti. Au preturi destul de mari. Pentru maxilar – ce am facut eu a fost 3350 Eur iar bixmaxilar vazusem pe la 7000 euro – cel mai mult era parca 8000 din lista lor. Acum operatia s-a facut la Sanador ceva timp dar nu stiam ca erau decontate si ca le pot face la Cluj. Doctorii de aici sunt buni dar am impresia ca ascund costurile astea tocmai sa nu te duci in alta parte. Plus ca la spital – am facut la Sanador – au cerut si cardul de sanatate ceea ce din nou e suspect ca e clinica privata. Or fi luat bani din doua parti si de la casa de asigurari si de la mine ?
Oricum e bine sa fie lumea aware de asta cand cauta pe internet informatii de genul asta si poate economisesc un banut.
ancatalks
December 3, 2019 at 2:14 pmBuna, Alexandra! Nevoia te impinge la cautat solutii, dar cel mai important este ca am fost tratate de medici buni :). Costurile cred ca nu sunt asa evidente si pentru ca tipul de operatie se poate schimba pe parcurs, cum am aflat eu tarziu ca o sa fac bimaxilara (si poate nu as fi avut de unde sa scot dublul sumei initiale de bani). Asta cu cardul de sanatate e putin ciudat daca nu ti-au oferit niciun serviciu care era in contract cu cnas, asa ar fi logic. Poate are si alte functii si nu stim noi?
Daniela
June 15, 2024 at 6:52 pmM-am operat si eu tot la Sanador si mi-au cerut cardul de sanatate, nu se iau banii din doua locuri, cardul acopera 2800 de lei din cei 48.000 de lei pe care i-am platit eu. Exista desfășurătorul pe factura care se eliberează la ieșirea din spital unde se pot vedea toate cheltuielile. Clinica Naos si Spitalul Sanador sunt ambele private iar operatia nu este decontata, se poate efectua cu decont dar doar in spitale publice.
Patricia
January 15, 2020 at 11:14 pmBuna , Anca ! Oare cum se poate lua legatura cu acest doctor , Simion Bran ?
ancatalks
January 16, 2020 at 1:21 pmBuna, Patricia! Suni la Clinica de Chirurgie Buco-Maxilo-Facială 2 din Cluj, gasesti pe net numarul, si ceri programare la dr respectiv.
Patricia
January 21, 2020 at 9:25 amMultumesc frumos !
ancatalks
January 21, 2020 at 12:09 pmPentru putin! Succes!
Catalin
January 28, 2020 at 9:47 amBuna. Cat te-a costat operatia?
ancatalks
January 28, 2020 at 1:16 pmBuna! Vezi aici: http://www.ancatalks.ro/costul-operatiei-ortognate-la-cluj/
Izabela
January 28, 2020 at 8:51 pmBuna, Anca! M-am gandit si eu sa imi fac aceasta operatie si as avea cateva intrebari 🙂 Prima ar fi daca nervii au suferit daune iremediabile (amorteala, durere) si daca da, te-ai recuperat complet? A doua intrebare ar fi daca felul in care vorbesti s-a schimbat (in bine sau rau) fata de cum vorbea inainte. Ar mai fi inca una, daca crezi dpdv estetic ca profilul facial arata mult mai bine de dinainte si daca simti ca poti sa respiri mai bine. In cazul meu, la radiografie s-a vazut cum caile respiratorii sunt blocate/apasate de mandibula inferioara. Si ultima intrebare ar fi daca doctorii au zis ca ar fi riscul ca mandibulele sa recidiveze in starea initiala si daca ai fost nevoita sa poti aparat dentar dupa operatie.
Scuze pentru atatea intrebari si multumesc in avans! 🙂
ancatalks
January 29, 2020 at 1:20 pmBuna, Izabela! Momentan (la mai bine de un an si jumatate) mai am doar o foarte, foarte usoara sensibilitate intr-o zona din barbie, nu stiu daca isi va mai reveni sau nu. De lucrul asta mi-am amintit doar pentru ca m-ai intrebat tu, evolutia a fost foarte mare oricum. Dictia nu are cum sa se schimbe in mai rau, e normal sa pronunti mai bine daca ai muscatura corecta. Cu respiratia nu am avut probleme niciodata, nu stiu ce sa raspund, medicii iti vor spune despre asta. Cu profilul la fel, arata cam ca inainte, schimbari fizice mari nu am avut. Conteaza tipul de diagnostic pentru ca efectele sunt altele pt fiecare. Nu am vorbit despre recidiva, sper sa nu fie probleme, teoretic maxilarele au fost puse in locul corect si oasele s-au sudat :D. Aparat dentar am purtat dupa operatie inca aproape un an, dar poate fi purtat si mai putin in functie de caz. Cu mare drag, succes mult!
Roxana
November 3, 2020 at 12:19 pmHello! Ce ma bucur ca am dat peste acest articol:) am avut si eu Bimax acum 2 saptamani in Iasi si inca sunt in perioada de acomodare. Citind acum povestea ta mi-a dat multe sperante si m-a linistit fiindca aveam multe intrebari fara raspuns cu privire la perioada urmatoare. Iti multumesc pe aceasta cale ca ai impartasit (asa pot sa imi fac o idee de cata rabdare mai am nevoie).
Operatia mea a decurs normal si nu m-am umflat extrem de tare, insa am avut mici probleme cu respiratia, insa acum totul e ok.
Inca mai am 2 mici vanatai care nu au trecut de tot si inca imi este greu sa deschid gura iar mancatul este foarte obositor…mai incerc sa deschid gura un pic mai mult. Abia astept sa pot mesteca din nou…I miss food 🙁
In cazul meu, mi s-a spus ca am o dictie mai buna ceea ce ma incanta. De asemenea, infatisarea mea e destul de schimbata, chiar vizibil, forma fetei e altfel… din cate imi pot da seama inca. Nu ma asteptam sincer la o shimbare asa mare dar nu pot sa zic ca imi displace. Mai am de asteptat pana la rezultatul final 😀
ancatalks
November 3, 2020 at 3:46 pmBuna, Roxana! Multumesc și eu ca ai impartasit reusita ta, suna foarte bine :)! Iti trimit cele mai bune ganduri si iti urez rabdare si odihna placuta! In curand o sa fie mai bine si mai usor si vei putea sa musti din hamburgeri.
Diana
November 11, 2020 at 11:40 amBună, Roxana! Îmi poți spune te rog, unde ai făcut operația de Bimax în Iași? Din păcate am o problemă la nivelul mușcăturii și singură soluție, cred, este chirurgia ortognată. Și încă o întrebare. Ai plătit sau operația a fost decontată de casa de asigurări?
Roxana
November 11, 2020 at 3:35 pmBuna, Diana! Operatia am facut-o la Arcadia fiind data situatia actuala cu Covid si in spital public nu este permis. Din acest motiv, a trebuit sa suport toate costurile, Arcadia fiind clinica privata… 3400 Euro in total (Arcadia+Doctorul meu). Deci sincer nu stiu daca poate fi decontata de casa de asigurari, dar nici nu m-am interesat.
Dr Victor Costan este cel care s-a ocupat de mine inca de cand am inceput sa port aparatul dentar si il recomand cu drag:)
alina
May 19, 2021 at 11:39 amBuna! Cum de ati ajuns sa faceti aceasta operatie?
Ca sa va zic problema mea….
Eu am purtat aparat dentar 3 ani, din cauza dintilor strambi, iar dupa purtarea aparatului, a cedat si articulatia(am ramas si cu partea de sus mai in fata, dintii nu au contact direct in fata ), iar de 6-7 luni am dese dureri in zona articulatiei temporo-mandibulare. Rar isi mai da drumul, e mai ok …. e chin la deschis gura, curatat dintii. As incerca la chirurg, insa ma gandesc ca ei opereaza direct. Sunt oare metode mai putin invazive pt a repara ? Din ce ati mai incercat voi … multumesc!
Angelica
November 17, 2023 at 9:32 amBuna!
Ai putea sa-mi spui cum mai esti intre timp, ce ai mai rezolvat? Sper ca esti mai bine.
Mikki
November 23, 2020 at 4:26 pmBuna, Roxana 🙂
Sper ca recuperarea ta decurge bine.
Daca vrei sa schimbi impresii cu mai multe persoane care au trecut prin operatii la maxilar, poti intra pe un grup de FB unde se discuta numai despre asta >> Bimax Romania (cauta pe FB, nu stiu daca merge sa pun link aici, e grupul cu descriere – Grup de discutii generale despre diverse afectiuni maxilo-faciale……)
Sunt acolo persoane operate/inca in tratament la diferiti chirurgi din tara si strainatate (Bucuresti, Cluj, Iasi, Brasov, Germania, Belgia…)
Take care! ❤
ancatalks
November 23, 2020 at 5:03 pmAsa este, am pus si eu link spre grupul din Romania si spre alte resurse utile, adaug aici: http://www.ancatalks.ro/resurse-care-m-au-ajutat-in-procesul-bimax/
Mikki
November 23, 2020 at 5:38 pmGrupul de care vorbesc eu e unul nou, cu postari despre alti medici >> https://www.facebook.com/groups/2968672179901507
Felicitari pentru blog, Anca 🙂
Eu ti-am citit toate postarile despre operatie de la inceput, din 2018, sunt minunat scrise!!
Bravo si pentru deschiderea catre povestile unor persoane care s-au operat la alti chirurgi – am citit oferta pe care i-ai facut-o lui Mihai Ionascu, pacat ca n-a acceptat-o.
Am vazut multe intrebari online de la oameni interesati sa faca operatia la Iasi, se interesau in special de dr Costan fara insa sa primeasca vreun raspuns. Cu siguranta o postare de la cineva care s-a operat la acest chirurg ar fi ajutat pe multa lume.
ancatalks
November 24, 2020 at 5:09 pmAaam inteles acum, nu stiam de grupul asta, nu apare la cautare. Multumim pentru link. 🙂
Multumesc si pentru cuvintele frumoase, e linistitor sa aud ca ajuta ce am scris. Multe lucruri prin care trecem pot fi de ajutor pentru altii, fac vindecarea ta si cautarea altora mai usoare,. Si-asa procesul este greoi, cu multe intrebari si raspunsuri putine. Eu las deschisa invitatia oricui de a povesti despre operatie in postare dedicata. Este nevoie sa auzim despre mai multi medici care nu au ajuns inca populari pe net.
ROXANA
December 2, 2020 at 3:44 pmMultumesc pentru sugestie, Mikki!
Desigur, daca as putea ajuta pe cineva cu mai multe informatii cu privire la operatia mea si chirurg, mi-ar face placere:)
Maria
February 12, 2021 at 8:39 pmBuna,
Se fac astfel de operații si la spitalul militar din bucurești.
ancatalks
February 14, 2021 at 9:11 pmBuna, Maria! Nu stiam asta. Poti sa ne dai detalii, nume de medici?
Amalia Nita
February 20, 2021 at 10:00 pmBuna ,
As dori sa stiu daca este cineva ce a facut operatia pentru ocluzie inversa si la ce costa a ajuns .
Urmeaza sa merg la o consultatie la medicul Ion Nicolescu .
As dori sa fac aceasta interventie iar acum incerc sa strang cat mai multe informati .Multumesc !
Mirabela
April 16, 2021 at 1:16 amBuna,îmi poti spune te rog dacă ai fost domnul doctor Nicolescu?Imi poti da mai multe detalii?
Rodica
October 30, 2021 at 8:37 pmBună seara
Am și eu un băiat născut cu malformație gura de lup. Nu cred ca are legătură cu discuțiile de pana acum. Are 35 ani poarta aparat dentar de la vârsta de 3 ani… mulți ani. Am urmat toți pașii indicați de stomatolog.
Anul acesta, acum o luna de zile am fost și noi la domnul doctor Ion Nicolescu. Un medic care ne_a explicat ce trebuie sa facem încontinuare. Sa mergem la ortodont sa facem un CT apoi sa începem. Sincer nu L_am întrebat costurile îmi este frica deoarece este clinica privata. Băiatul încă se gândește, bani nu sunt.
Poate cineva cunoaște sau a trecut prin aceasta situație sa ma îndrume și pe mine la un medic maxo facial cu decontare și sa plătim mai puțin.
Sunt dispusa la întrebări dacă nu am fost explicita.
ancatalks
November 1, 2021 at 11:28 amBuna ziua,
Vă încurajez să mergeți la o consultație la Cluj. De-a lungul timpului am văzut în sala de așteptare mai mulți oameni cu genul acesta de malformații, nu știu exact numele medicului care îi trata. Este Clinica de Chirurgie Buco-Maxilo-Facială 2, găsiți datele pe google, va programați, mergeți cu cardul de sănătate, buletin, trimitere de la medicul de familie și ce alte investigații aveți (radiografii,ct) . Dacă v-ați califica pentru operație, acolo ar fi decontată integral intervenția. Într-adevăr, pentru un om cu venituri normale este foarte dificil să achite operația și cheltuielile aferente la privat, așa a fost și în cazul meu. Îmi pare rau că treceți prin asta impreună cu băiatul dumneavoastra, sper să găsiți o soluție accesibilă. Sănătate și gânduri bune!
Alex B
January 13, 2022 at 2:19 pmHello all,
Si eu am fost diagnosticat cu malocluzie dentara si am nevoie de un plan de interventie. In cazul meu mi s-a spus ca am nevoie in prima faza de un aparat dentar (2-3luni), apoi o prima interventie pentru introducerea unui disjunctor (largire maxilar), apoi in continuare aparat dentar pentru mandibula si maxilar (1.5 ani), apoi inca o operatie pentru aliniere mandibula si maxilar.
Interventiile se pot realiza la clinica (TRIDENT, in Bucuresti). Costul intregului program care se intinde pe aproximativ 2 ani sunt de aproximativ 8000euro.
Ma interesa sa stiu daca ati gasit/auzit /cunoasteti vreun tip de asigurare de sanatare care poate acoperi partea de interventie chirurgicala (~3000euro)
ancatalks
January 13, 2022 at 4:42 pmBuna Alex,
Poti sa intrebi la clinica respectiva ce variante sunt. Eu nu cunosc nicio decontare in spital privat maxilo, nicio varianta cu asigurare privata. Dar nu mai sunt la curent de ceva timp. Stiu ca in spitalul de stat in care am fost eu se decontau si interventia de disjunctie si cea de operatie bimaxilara.
Cazul meu de bimax este bârfit pe un site de inceli - Anca Talks
March 30, 2022 at 6:04 pm[…] trecute exploram cine, de unde a mai venit pe blog, și am dat de un forum pe care era link spre povestea mea. Nu recunoșteam url-ul, de obicei mai sunt de la alte bloguri de […]
Andreea
February 14, 2023 at 8:47 amBună Anca,
În primul rând vreau să-ți mulțumesc pentru acest articol!
În urma unor investigații, e posibil să fac și eu această operație. Mă interesa cu a fost cu acele plăcute metalice și cu acele șuruburi care au fost puse pe oasele mandibulei/maxilarului. Nu m-am interesat încă destul de mult, dar bănuiesc că ramai cu ele toată viața, nu?
Se simte rău? Sau s-a simțit într-o anumită perioadă rău cu ele atașate?
Mulțumesc!
ancatalks
September 5, 2023 at 5:06 pmBuna, Andreea. Am ratat cu gratie comentariul tau. Nu am ramas cu ele, le-am scos dupa un an aproape. Am scris aici despre asta, nu stiu daca ai gasit ulterior. Se simte cumva ceva in plus dupa o vreme, dar cred ca poti trai cu ele daca nu mai vrei sa le scoti,
carmen
February 22, 2024 at 9:40 pmBuna seara,
M-ar interesa sa stiu cum e dupa mai mult timp de la operatie. In special daca e cineva cu ocluzie clasa 2 cu 2 (ocluzie adanca acoperita). Rezultatul se mentine in timp? (dupa mai multi ani) Daca a avut cineva complicatii mult timp dupa operatie. (dupa cativa ani). Am citit ca sunt destul de multe persoane care au ramas cu amorteli sau senzatii ciudate in anumite parti ale fetei (barbie, gingie pe interior) la mult timp dupa operatie.
Georgiana
June 17, 2024 at 8:45 amBună, Anca!
Îmi poți spune la ce Medic Ortodont ai fost tu?
Cristiana
February 3, 2025 at 9:39 amBună ziua, s-a operat cineva la spitalul de stat dr Dan Teodorescu?
Alina
August 1, 2025 at 9:36 pmBuna ziua!
Anca, ti-am citit cu maxim interes articolele postate. Iti multumesc ca mi-ai raspuns la multe nelamuriri.
Eu am fost diagnosticata recent cu o ocluzie deschisa similara cu a ta. Intrebarea mea este, dnul dr Bran colaboreaza si cu alti ortodonti din tara? In Bacau mi s-a recomandat Clinica Naos, dar tarifele sunt substantiale. In Iasi sunt ceva mai mici, dar per total probabil ca dupa tratamantul ortodontic se ajunge la minim 8000 euro, o suma mare pentru mine.
ancatalks
September 4, 2025 at 12:13 pmBuna, Alina! 🤗 Raspund mai tarziu. Da, nu conditioneaza alegerea ortodontului. e dreptul tau sa alegi pe oricine consideri. Doar sa ai grija sa aiba niste experienta si in chirurgie ortognatica ca sa te simti pe maini bune.